Las técnicas histoquímicas permiten a los histólogos e histopatólogos observar la presencia de ciertas moléculas de interés en muestras histológicas de tejidos u órganos. Para el caso el alcian blue o azul alciano, las moléculas marcadas resultan ser carbohidratos mucopolisacáridos.
La técnica presenta variantes según el pH en que se encuentre la solución de alcian blue, marcando diferentes compuestos mucopolisacáridos, pero en esencia es el mismo procedimiento y fundamento. En el protocolo se explican los distintos tipos de mucopolisacáridos que se tiñen a pH 2,5 y 1.

¿Cómo la hacemos?
Los pasos son sencillos. Luego del desparafinado, los cortes histológicos se sumergen en un coplin o canastilla que dispongamos con la solución de alcian blue; la cantidad dependerá del tamaño del recipiente, pero mínimamente debe asegurarse de cubrir completamente las muestras. Si se realiza uno o un par de cortes, se puede realizar individualmente colocando gotas de la solución sobre los portas, como en la foto superior. El tiempo de exposición es variable; la bibliografía recomienda de 5 a 30 minutos. Por esto, se recomienda realizar pruebas previas para ajustar los tiempos que a cada uno le funcionen con los tejidos que estudia y sus objetivos en la cabeza.
Luego del baño en la solución AB, se realiza un enjuague en agua y una coloración de contraste con hematoxilina. Otra vez, los tiempos son variables, pero entre 2 y 5 minutos suele ser suficiente. Particularmente, realizo un baño de 2 minutos en hematoxilina de Gill III modificada. Luego, se enjuaga y vira en agua corriente, se enjuaga en agua destilada y se deja secar. Como alternativa, puede utilizarse rojo rápido nuclear; pero personalmente no lo he utilizado.
El secado puede hacer en estufa a 35-37°C de un día para el otro, como lo realizo yo, o también por deshidratación inmediata con alcoholes, cumpliendo pasos inversos al desparafinado del inicio. Finalmente, queda montar con un cubreobjeto y evaluar al microscopio óptico.


¿Qué obtenemos?
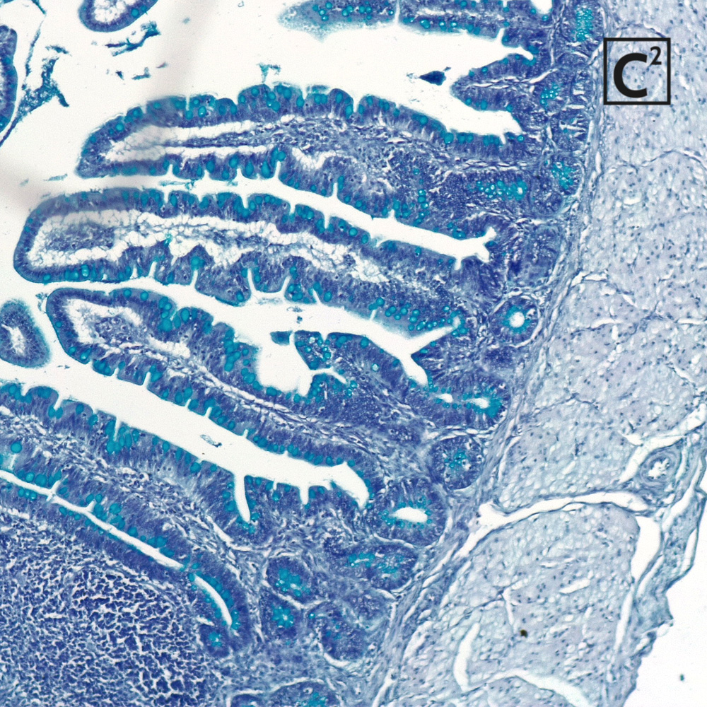
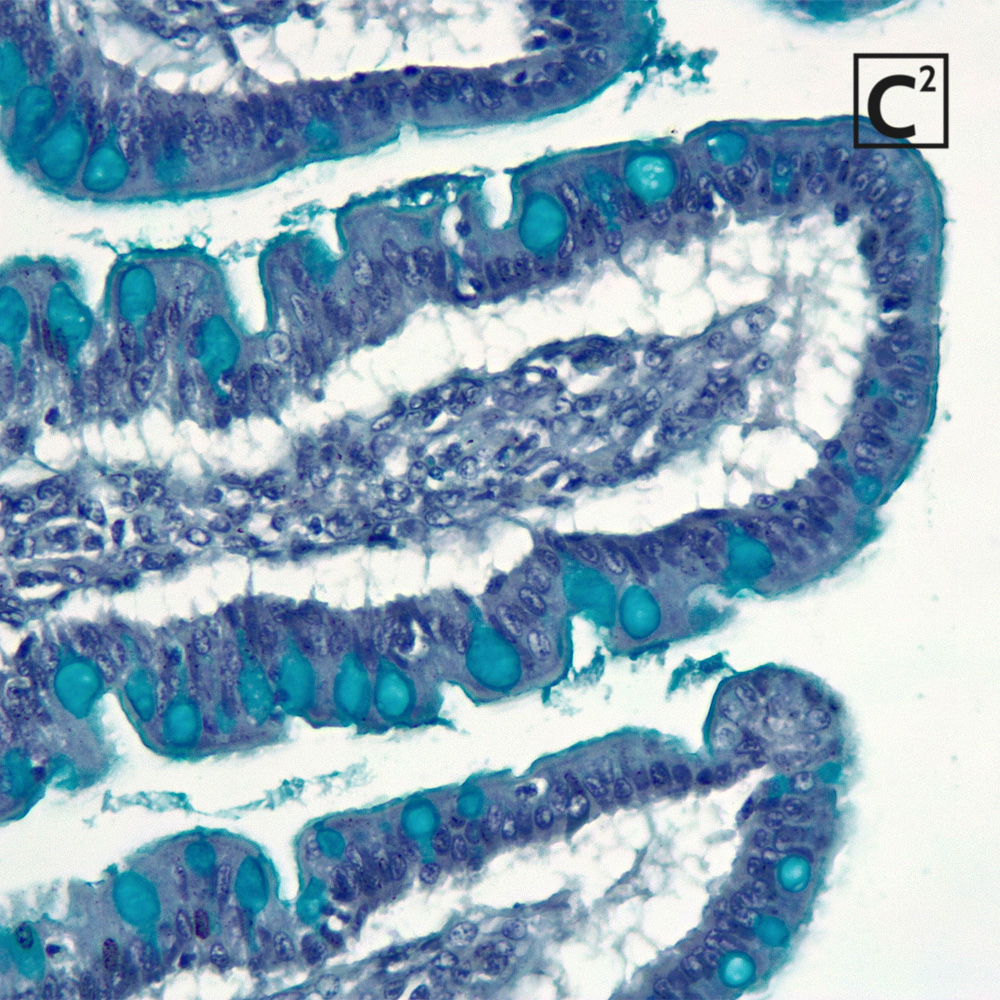
En el tejido podremos observar la existencia de células que presentaran contenido mucopolisacárido. Un ejemplo clásico son las células caliciformes en la mucosa intestinal, las cuales secretan el mucus intestinal y que con una coloración de hematoxilina-eosina de rutina no se colorean, pero con Alcian blue las vemos de un turquesa a azul fuerte.
Las imágenes de arriba son de íleon de pollito teñido con esta técnica, y en ellas podemos ver claramente las células caliciformes como «gotas» turquesas entre los enterocitos, a lo largo de todo el epitelio luminal.
Aquí dejo el protocolo de esta técnica utilizado en nuestro laboratorio y también uno de la Universidad de Utah.