En septiembre, la empresa Bio-Optic, representante de Leica Microsystems y otras empresas internacionales dedicadas al equipamiento para investigación, lanzó su concurso anual de fotografía. La consigna es simple, cada laboratorio puede mandar una fotografía tomada con algún tipo de microscopio Leica y la gente elige 12 fotografías para ser parte del calendario 2019.
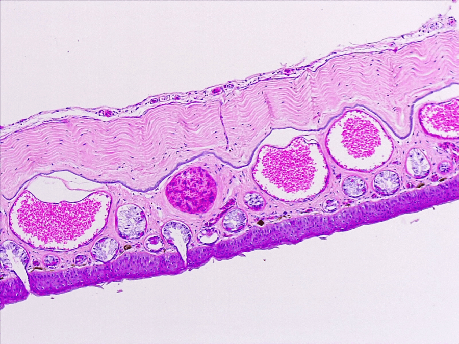
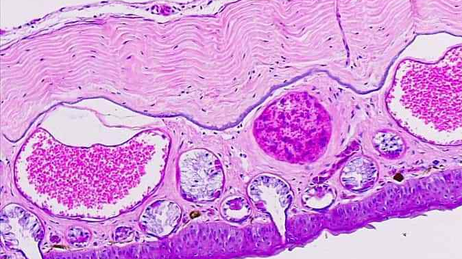
Este año, llegué a ver la convocatoria a tiempo y a incentivar al grupo del laboratorio a sumarnos este año, porque los premios lo valen y salir en un calendario es una forma de difundir el trabajo que se realiza en el laboratorio. Así, empezamos a pensar en qué imagen mandaríamos, de qué tejido (porque estamos en un laboratorio de histología), de qué especie de las que tenemos disponibles. Al principio, entendíamos que podíamos mandar una foto cada uno, así que subimos una de un nido glandular en endometrio de yegua con tinción histoquímica de Picrosirius Red (tiñe de rojo las fibras de colágeno y de amarillo el resto), una de células de Purkinje en cerebelo con tinción de rutina (H&E) y una de tegumento de anfibio, de rana criolla particularmente, también con tinción de rutina. Enseguida recibimos el aviso que debíamos elegir una, porque era una por laboratorio. Finalmente, elegimos participar con la imagen del tegumento de rana criolla (Leptodactylus latrans). Y así fue, con el título de Mundo Anfibio.

A los pocos días, la imagen estaba subida en la página de Facebook de la empresa para ser votada. Y nosotros comenzamos la campaña.
En un par de semanas logramos conseguir 1,8 mil me gusta y, aunque supimos estar en segundo lugar, finalmente quedamos en el cuarto puesto, sin premio alguno, pero con la posibilidad de salir en el calendario 2019.
Con esta participación, logré motivar al grupo para presentarse en concursos y convocatorias similares, como una vía no sólo de obtener equipamiento o financiamiento, sino también de dar a conocer el trabajo en el laboratorio, uno de los menos desarrollados de la Facultad.